Мукормикоз: смертельное осложнение после COVID
Мукормикоз: смертельное осложнение после COVID
То, что перенесенный COVID-19 во многих случаях дает осложнения – факт, подтвержденный многочисленными примерами. Чаще всего переболевших еще несколько месяцев после выздоровления мучают боли в мышцах, быстрая утомляемость, проблемы с дыхательной системой.
У некоторых после COVID-19 появляется депрессия, тревога. Но то, что происходит сейчас в Индии, не ожидал никто. Там у переболевших COVID-19 возникает осложнение в виде мукормикоза – грибкового заболевания, ведущего к слепоте или даже смерти. В начале лета количество заболевших в стране превышало 11 000 человек. Цифра продолжает стремительно расти. И это при том, что до второй волны эпидемии COVID-19 в Индии регистрировали в год единичные случаи мукормикоза. В более развитых странах и того меньше.
Мукормикоз – это грибковое заболевание, которое СМИ уже окрестили «черным грибком» (из-за черных пятен, которыми покрываются отмершие ткани на теле больного). Еще до начала 2021 года болезнь диагностировали крайне редко, а теперь она является одним из самых частых осложнений COVID-19 в Индии.
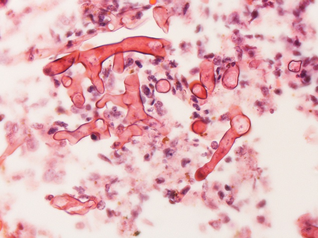
Возбудитель мукормикоза (грибы Mucoralean) способен проникать в носовые пазухи, поражать слизистые глаз и даже ткани легких и головного мозга. Если распространение грибка не остановить на ранней стадии, 50-80% больных ожидает летальный исход. Грибы возникли на Земле около 400 млн лет назад и их польза для планеты неоспорима. Они помогают растениям получать минералы из почвы, разлагают органические остатки, перерабатывают, содержащиеся в древесине и листьях, питательные вещества. Но некоторые виды грибов в ходе эволюции приобрели черты патогенов.
Для человека опасными являются только некоторые из них. Причина в том, что в ходе эволюции люди получили сложную иммунную систему, которая защищает своего хозяина от патогенов. Но если иммунитет ослаблен, грибки, которые до этого были безвредными для человека, проникают в ткани организма, вызывая опасные для жизни заболевания.
В обычных обстоятельствах грибы Mucoralean родов Mucor и Rhizopus, которые являются всем знакомой плесенью, обитают в почве, компосте, навозе, в растительных отходах и гниющей древесине. Они же образуют на испорченных фруктах и хлебе черные плесневые пятна. Размножаются эти грибы спорами. Влажные тропический климат, как в Индии, является идеальным для размножения плесневых грибов. Мукормикоз возникает, когда человек с ослабленным иммунитетом вдыхает споры грибов Mucor. Это не заразная болезнь и ей подвержены только лица с нарушениями в работе иммунной системы. До недавнего времени основной группой риска определяли людей, перенесших операцию по трансплантации органов, так как эти пациенты принимают иммунодепрессанты, которые предотвращают отторжение пересаженного органа, но в то же время ослабляют иммунный ответ организма.
Также более подвержены мукормикозу люди, страдающие ВИЧ/СПИД, онкологическими заболеваниями, врожденными болезнями костного мозга. Теперь в эту группу специалисты добавили и пациентов с COVID-19.
Симптомы заболевания
Самые распространенные симптомы мукормикоза:
- заложенность и/или кровотечение из носа;
- боль в глазах;
- отек лица;
- головная боль;
- птоз (опущение век);
- ухудшение, а затем и полная потеря зрения.
Если грибок поражает легкие, появляется кашель, одышка, жар.
Прогрессирование болезни может привести к некрозу участков головного мозга. Помимо респираторных симптомов, у инфицированных также могут появляться волдыри и язвы на коже, ткань (чаще всего в области носа) чернеет, из-за чего болезнь называют «черным грибком».
По свидетельству индийских врачей, пациенты обычно обращаются за помощью, когда болезнь сильно запущена. Поэтому чаще всего для предотвращения проникновения инфекции в мозг больному приходится удалять один или оба пораженных глаза, в некоторых случаях челюсть. Но также в стране наблюдается высокий процент смертности от недуга.
Избежать столь серьезных последствий можно, если своевременно обратиться за медицинской помощью и пройти адекватную терапию. Для лечения мукормикоза применяют противогрибковые препараты, которые необходимо вводить внутривенно ежедневно в течение 2 месяцев.
Какова взаимосвязь между COVID-19 и мукормикозом
В начале 2021 года мукормикоз как осложнение после COVID-19 был обнаружен только у 8 человек: у трех в США, двух в Индии, по одному в Италии, Бразилии и Великобритании [4]. Сегодня количество заболевших превышает 10 тысяч. По мнению врачей, причиной, почему люди, переболевшие COVID-19, становятся мишенью для грибов семейства Мукоровые, является прием стероидов. Препараты этой группы активно применяют для лечения пациентов с тяжелым протеканием коронавирусной болезни. Стероиды эффективно устраняют тяжелое воспаление легких, но в то же время они ведут к снижению иммунитета. Кроме того, на фоне стероидной терапии может повышаться сахар в крови. А диабет, по мнению исследователей, является еще одним фактором риска развития мукормикоза.
Диабет опасный не только тем, что ослабляет иммунную систему, но и создает в организме условия, благоприятные для развития грибковых инфекций. Кстати, по мнению специалистов, именно высокий уровень заболеваемости диабетом и стремительное распространение коронавируса послужили главным фактором столь высокого показателя осложнений в виде мукормикоза.
По наблюдениям индийских врачей, мукормикоз обычно возникает примерно через 2 недели после выздоровления от COVID-19. Согласно данным исследования основными триггерами развития мукормикоза после перенесенного COVID-19 являются:
- сахарный диабет и диабетический кетоацидоз;
- неконтролируемая гипергликемия на фоне приема кортикостероидов;
- низкий уровень pH (ацидоз);
- снижение фагоцитарной активности лейкоцитов на фоне приема стероидов;
- эндотелиалиит (повреждение эндотелия), тромбоз, лимфопения, которые часто возникают на фоне COVID-19 и делают человека уязвимым к присоединению вторичной или условно-патогенной грибковой инфекции;
- повышение в организме количества свободного железа.
Стремительный рост случаев мукормикоза в Индии как осложнения COVID-19 – это результат сочетания трех факторов: широкого распространения в стране диабета; неконтролированного применения кортикостероидов; несоблюдение карантинных мер, что привело к массовому инфицированию коронавирусом.
Мукормикоз – редкое заболевание, а грибы семейства Мукоровых, как правило, безопасны для лиц с крепким иммунитетом. А это значит, что защититься от недуга реально, если поддерживать здоровье иммунной системы, следить за состоянием сахара в крови и строго соблюдать профилактические меры против COVID-19.
https://foodandhealth.ru
